Teeth Too Small Smile Makeover
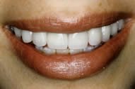
Julie

Using porcelain veneers, Dr. Hurley was able to change the size, shape, and color of Julie's teeth, filling in spaces between her teeth. Dr. Hurley was able to lengthen Julie's teeth, perform a gum lift, and widen her buccal corridor.
![]() |
![]() |
![]() |
![]() |
![]() |
![]() |







