Smile Makeover for Missing Teeth
Lynn
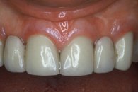
Dr. Hurley replaced Lynn’s upper left and right lateral incisors with fixed bridges, and did grafts on the lateral incisor areas to build them out for ovate pontics, so her teeth appear to grow out of her gums.
| Before | After |
![]() |
![]() |
![]() |
![]() |















All photographs on this site are the work of Dr. Allyson K. Hurley
All content and images are copyrighted ©.