New Jersey Dental Bonding
Dental bonding is a cosmetic dentistry technique that uses adhesive technology to bond the material directly to your natural tooth, providing additional strength and support to the tooth. The adhesive technology used in dental bonding makes the repaired tooth more resistant to chipping and cracking than with silver amalgam fillings.
Dental bonding is an efficient way to fix a cracked or chipped tooth, or a gap between teeth, and it is very inexpensive compared to some alternative cosmetic dental procedures. Dental bonding can be used to correct slight discolorations or reshape a few teeth. If you are seeking a complete smile makeover and want to straighten all your teeth, or correct defects that appear on more than one or two teeth, porcelain veneers or crowns would be a better option.
Skilled cosmetic dentists with additional post-graduate training in this procedure and a bit of artistic talent can use dental bonding to sculpt the shape and size of your teeth, and can replicate the color, translucency, and texture of your natural teeth so that the repair is virtually undetectable.
Examples of Dental Bonding
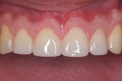
Pedro
Pedro’s teeth were worn and chipped and gave him an older appearance. He and Dr. Hurley agreed to do bonding. Additionally, bonding material was used to stabilize his bite as it had collapsed due to wear. Several different colors were blended internally to give it a more natural appearance. The front teeth were lengthened using ceramic fibers to help hold the bonding material in place. Pedro also had a gum lift to achieve better length and proportion to his teeth.
![]() |
![]() |
| Pedro Before | Pedro After |
Bill
Bill was involved in a sport accident. Dr. Hurley bonded Bill’s left front tooth using ceramic fibers for strength. She utilized several different colors internally to make it look natural. The composite material used in white fillings is the same material used in the dental bonding procedure. Dr. Hurley will use her artistic skill to match the composite material to the natural color and opacity of your teeth. The area where the material will be bonded to is prepared, and a bonding adhesive is applied. Dr. Hurley will then use her artistic talent to reshape and restore your tooth while blending it perfectly with the remaining natural tooth structure.
![]() |
![]() |
| Bill Before | Bill After |
Dental Bonding Procedure
The composite material used in white fillings is the same material used in the dental bonding procedure. Dr. Hurley will use her artistic skill to match the composite material to the natural color of your teeth. The area where the material will be bonded is prepared, and a bonding adhesive is applied. Dr. Hurley can then use her artistic talent to reshape and restore your tooth while blending the material with the remaining natural tooth structure.





