Smile Makeover for Teeth that Are Too Big
Mary Ellen

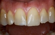
Dr. Hurley evened Mary Ellen's gum tissue, tucked in her rotated teeth to follow the curve of the arch, and reshaped her teeth. She built out Mary Ellen's arch, changed the color of her teeth, and matched the length of her front teeth. Dr. Hurley built in translucency to Mary Ellen's porcelain veneers to give them a more natural appearance.
"Dr. Hurley gave me a beautiful smile! Dr. Hurley and everyone in her office are warm, caring, and very professional. From the first office visit I was comfortable and knew I was trusting the right people with my teeth. I could not be happier!" – Mary Ellen
| Before | After |
![]() |
|
![]() |
![]() |
![]() |
![]() |
















All photographs on this site are the work of Dr. Allyson K. Hurley
All content and images are copyrighted ©.